Bạn đang chuẩn bị làm răng giả, cấy ghép hay phục hình thẩm mỹ? Nếu bác sĩ đề nghị chỉnh nha trước khi làm phục hình, đừng vội lo lắng. Đó có thể là giải pháp giúp bạn có kết quả bền vững và thẩm mỹ hơn. Hãy cùng tìm hiểu đầy đủ về chỉnh nha tiền phục hình qua bài viết này.
Mục lục
- 1. Các trường hợp cần chỉnh nha tiền phục hình
- 1. Răng bị nghiêng, đổ vào khoảng trống mất răng
- 2. Khớp cắn sai lệch ảnh hưởng đến phục hình
- 3. Răng mọc sai vị trí, xoay lệch hoặc chìa ra ngoài
- 4. Không đủ khoảng để làm phục hình
- 5. Cần chuẩn bị mặt phẳng nhai và tương quan hàm ổn định
- 6. Phục hình thẩm mỹ vùng răng cửa nhưng không muốn mài nhiều mô răng
- 2. Khác biệt giữa chỉnh nha thông thường và chỉnh nha tiền phục hình
- 3. Câu hỏi thường gặp
1. Các trường hợp cần chỉnh nha tiền phục hình
1. Răng bị nghiêng, đổ vào khoảng trống mất răng

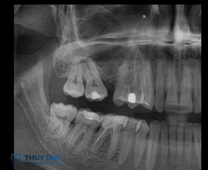
Khi một hoặc nhiều răng bị mất (do nhổ, chấn thương hoặc bệnh lý) mà không được phục hình kịp thời, các răng kế cận hai bên khoảng trống thường có xu hướng nghiêng hoặc đổ vào khoảng mất răng. Răng đối diện cũng có thể trồi xuống làm mất tương quan khớp cắn.
Lý do cần chỉnh nha:
- Không đủ không gian: Khoảng trống ban đầu bị thu hẹp, gây khó khăn trong việc đặt implant, làm cầu răng hoặc phục hình tháo lắp đúng kỹ thuật.
- Trục răng bị lệch: Răng nghiêng làm cho phục hình thiếu vững chắc, giảm tuổi thọ và gây mất thẩm mỹ. Lực nhai không được phân bổ đều, có thể gây tổn thương răng trụ và ảnh hưởng khớp cắn.
Ví dụ:
Một bệnh nhân mất răng hàm dưới số 6 trong thời gian dài. Răng số 5 và số 7 bị nghiêng vào khoảng trống, đồng thời răng số 6 hàm trên trồi xuống. Cần chỉnh nha để dựng trục răng 5 và 7, điều chỉnh lại răng trồi, sau đó mới phục hình bằng implant hoặc cầu răng.
2. Khớp cắn sai lệch ảnh hưởng đến phục hình
Bệnh nhân có các dạng sai khớp cắn như cắn sâu, cắn chéo, cắn ngược hoặc cắn hở. Những tình trạng này không chỉ ảnh hưởng chức năng ăn nhai mà còn khiến việc phục hình trở nên không bền vững và thiếu hiệu quả.
Lý do cần chỉnh nha:
- Tái lập khớp cắn chuẩn: Đảm bảo phục hình hoạt động hài hòa với hàm đối diện.
- Ngăn ngừa biến chứng: Phục hình trên nền khớp cắn sai có thể gây vỡ răng giả, đau khớp thái dương hàm hoặc mỏi cơ nhai.
Ví dụ:
Một người có khớp cắn sâu, các răng cửa hàm trên che phủ hoàn toàn răng cửa hàm dưới. Nếu bọc sứ thẩm mỹ mà không chỉnh nha trước, răng sứ dễ bị vỡ do lực cắn trực tiếp. Cần chỉnh nha để đưa khớp cắn về đúng tương quan, sau đó mới bọc sứ.
3. Răng mọc sai vị trí, xoay lệch hoặc chìa ra ngoài

Răng bị mọc lệch khỏi cung hàm, xoay trục hoặc chìa ra ngoài do bẩm sinh hoặc mọc chen chúc.
Lý do cần chỉnh nha:
- Đưa răng về đúng vị trí: Giúp phục hình đạt tính thẩm mỹ và khớp cắn ổn định.
- Tránh phải mài răng nhiều: Hạn chế việc xâm lấn mô răng khi phục hình (đặc biệt trong bọc răng sứ).
Ví dụ:
Một người có răng cửa xoay 45 độ so với bình thường. Nếu bọc sứ trực tiếp sẽ phải mài rất nhiều mô răng và vẫn không đạt thẩm mỹ tối ưu. Chỉnh nha trước giúp đưa răng về đúng hướng, sau đó bọc sứ sẽ đẹp và bền hơn.
4. Không đủ khoảng để làm phục hình

Do răng chen chúc hoặc răng mọc lệch hướng, khoảng không trên cung hàm bị hạn chế, khiến kỹ thuật phục hình không thể thực hiện chính xác.
Lý do cần chỉnh nha:
- Tạo khoảng trống cần thiết: Đảm bảo có đủ không gian để gắn răng sứ, implant hoặc các loại phục hình tháo lắp mà không ảnh hưởng mô xung quanh.
- Phân bố lại khoảng cách răng đều đặn: Tăng thẩm mỹ tổng thể.
Ví dụ:
Bệnh nhân muốn làm 4 răng sứ vùng răng cửa, nhưng răng chen chúc và lệch lạc khiến không đủ khoảng. Chỉnh nha giúp sắp xếp lại vị trí răng, tạo đủ khoảng cho phục hình sứ chuẩn kích thước và thẩm mỹ.
Có thể bạn quan tâm: Mất răng số 6 và 7 có nguy hiểm không? Cách phục hồi tốt nhất
5. Cần chuẩn bị mặt phẳng nhai và tương quan hàm ổn định
Trong các trường hợp phục hình toàn hàm hoặc phục hình nhiều răng liên tiếp, mặt phẳng nhai ban đầu có thể bị lệch hoặc sụp do mất răng lâu ngày, răng trồi hoặc mòn răng.
Lý do cần chỉnh nha:
- Tái thiết lập mặt phẳng nhai: Giúp phục hình đạt độ cao lý tưởng, tránh rối loạn khớp cắn.
- Ổn định khớp thái dương hàm: Đảm bảo chức năng nhai và phát âm sau phục hình.
Ví dụ:
Người lớn tuổi mất răng nhiều, mặt phẳng nhai bị sụp khiến hàm dưới tiến gần lên hàm trên. Cần chỉnh nha để nâng chiều cao khớp cắn trước khi làm răng giả toàn hàm nhằm đảm bảo chức năng và thẩm mỹ.
Tìm hiểu thêm: Người già nên trồng răng loại nào tốt nhất?
6. Phục hình thẩm mỹ vùng răng cửa nhưng không muốn mài nhiều mô răng

Bệnh nhân muốn cải thiện thẩm mỹ vùng răng cửa bằng bọc sứ, nhưng răng hiện tại lệch nhẹ, chen chúc hoặc chìa ra một chút.
Lý do cần chỉnh nha:
- Hạn chế xâm lấn mô răng: Tránh mài nhiều mô răng gốc để đạt thẩm mỹ.
- Tối ưu kết quả thẩm mỹ và độ bền: Bọc răng sau chỉnh nha cho hình thể đều, nướu đẹp, hài hòa khuôn mặt.
Ví dụ:
Một bệnh nhân nữ có răng cửa chìa nhẹ và không đều nhau. Nếu bọc sứ trực tiếp sẽ phải mài sâu và vẫn không đạt tỉ lệ lý tưởng. Chỉnh nha nhẹ trong vài tháng giúp đều răng, sau đó bọc sứ sẽ đẹp tự nhiên hơn, bền hơn và bảo tồn tối đa răng thật.
2. Khác biệt giữa chỉnh nha thông thường và chỉnh nha tiền phục hình
Chỉnh nha tiền phục hình có những điểm phức tạp hơn so với chỉnh nha thông thường (hay chỉnh nha tổng quát) vì nó không chỉ đơn thuần là làm thẳng răng mà còn phải đạt được một mục tiêu phục hình cụ thể.
Dưới đây là những điểm phức tạp chính:
1. Mục tiêu điều trị chuyên biệt và chính xác cao

Chỉnh nha thông thường: Mục tiêu chủ yếu là sắp xếp răng đều đặn, cải thiện khớp cắn và thẩm mỹ tổng thể của nụ cười. Mặc dù vẫn cần độ chính xác, nhưng có thể có một biên độ nhỏ chấp nhận được trong một số trường hợp.
Chỉnh nha tiền phục hình: Mục tiêu cực kỳ cụ thể và có tính định hướng phục hình. Nó đòi hỏi di chuyển răng đến một vị trí chính xác đến từng milimet để tạo không gian lý tưởng cho implant, cầu răng, hoặc mão răng sứ. Sai lệch nhỏ cũng có thể khiến việc phục hình không thể thực hiện được hoặc kém bền vững, thẩm mỹ.
Nếu sai lệch chỉ vài mm hoặc độ nghiêng vài độ, phục hình có thể:
- Không gắn vừa
- Sai khớp cắn
- Dễ gãy, viêm quanh Implant, mất thẩm mỹ
2. Yêu cầu về sự phối hợp đa chuyên khoa
Chỉnh nha thông thường: Thường do một bác sĩ chỉnh nha chính đảm nhiệm, đôi khi có sự phối hợp với nha sĩ tổng quát để theo dõi sức khỏe răng miệng.
Chỉnh nha tiền phục hình: Yêu cầu sự phối hợp chặt chẽ và liên tục giữa bác sĩ chỉnh nha và bác sĩ phục hình (hoặc bác sĩ cấy ghép implant). Hai bên phải cùng nhau lập kế hoạch từ đầu, trao đổi thông tin thường xuyên và điều chỉnh kế hoạch nếu cần. Bác sĩ phục hình cần hình dung được kết quả chỉnh nha sẽ tạo điều kiện cho phục hình như thế nào, và bác sĩ chỉnh nha cần hiểu rõ yêu cầu về không gian và trục răng từ bác sĩ phục hình.
3. Khó khăn trong việc di chuyển răng đặc biệt
Chỉnh nha thông thường: Chủ yếu di chuyển răng để làm thẳng hàng, đóng khoảng hở hay điều chỉnh khớp cắn.
Chỉnh nha tiền phục hình: Thường phải thực hiện các loại di chuyển răng phức tạp hơn như:
- Dựng thẳng răng bị nghiêng (Uprighting): Đây là việc di chuyển phần chân răng bị nghiêng về vị trí thẳng đứng, không chỉ là làm thẳng thân răng.
- Đánh lún răng (Intrusion): Đưa răng bị trồi dài trở lại vị trí cũ, một chuyển động khá khó khăn vì phải đối mặt với lực đối diện từ xương hàm.
- Di xa/di gần tạo khoảng (Distalization/Mesialization to create space): Di chuyển toàn bộ răng (bao gồm cả chân răng) để tạo ra hoặc đóng lại khoảng trống cần thiết.
Những chuyển động này đòi hỏi kỹ thuật cao, khí cụ đặc biệt và thường mất nhiều thời gian hơn.
4. Tình trạng răng và xương hàm ban đầu phức tạp hơn

Chỉnh nha thông thường: Bệnh nhân thường có đầy đủ răng (hoặc thiếu vài răng đơn lẻ) với xương hàm tương đối khỏe mạnh.
Chỉnh nha tiền phục hình: Bệnh nhân thường có:
- Mất răng lâu ngày: Dẫn đến tiêu xương hàm, răng nghiêng đổ nghiêm trọng.
- Xương hàm đã bị thay đổi cấu trúc: Việc di chuyển răng trên nền xương đã tiêu hoặc tái cấu trúc có thể khó khăn hơn.
- Vấn đề nha chu: Răng bị nghiêng đổ lâu ngày có thể kèm theo vấn đề về nướu và xương xung quanh, cần được điều trị ổn định trước hoặc trong quá trình chỉnh nha.
5. Áp dụng kỹ thuật cao và lên kế hoạch tỉ mỉ
Chỉnh nha thông thường: Kế hoạch dựa trên mục tiêu tổng thể và các thông số đo đạc tiêu chuẩn.
Chỉnh nha tiền phục hình: Đòi hỏi việc lập kế hoạch chi tiết hơn, thường sử dụng các kỹ thuật như:
- Phân tích không gian 3D: Sử dụng các phần mềm chuyên dụng để mô phỏng sự di chuyển của răng và hình dung kết quả cuối cùng.
- Mô hình sáp chẩn đoán (Diagnostic Wax-up): Tạo mẫu răng trên sáp để hình dung vị trí răng phục hình lý tưởng, từ đó định hướng cho quá trình chỉnh nha.
- Sử dụng khí cụ hỗ trợ: Có thể cần đến các mini-screws (vít neo chặn tạm thời) để tạo điểm tựa vững chắc, giúp di chuyển răng hiệu quả hơn và kiểm soát tốt hơn các chuyển động phức tạp.
6. Giai đoạn duy trì phức tạp hơn
Chỉnh nha thông thường: Sau khi kết thúc chỉnh nha, bệnh nhân sẽ đeo hàm duy trì để giữ răng ổn định ở vị trí mới.
Chỉnh nha tiền phục hình: Giai đoạn duy trì không chỉ là đeo hàm duy trì mà còn phải hoàn thành phục hình răng càng sớm càng tốt sau khi kết thúc chỉnh nha. Chính bản thân phục hình (ví dụ: implant, cầu răng) sẽ giúp duy trì vị trí của các răng đã chỉnh. Nếu không phục hình kịp thời, các răng đã chỉnh có thể có xu hướng di chuyển trở lại vị trí ban đầu.
7. Thời gian điều trị linh hoạt, phụ thuộc vào kế hoạch phục hình
Đối với chỉnh nha phục hình, có thể không cần chỉnh toàn bộ hàm như chỉnh nha thông thường, nhưng phải tập trung vào vùng quan trọng cho phục hình. Thời gian chỉnh nha có thể ngắn hơn hoặc kéo dài hơn, tùy mức độ chuẩn bị nền răng/xương.
3. Câu hỏi thường gặp
Có thể phục hình ngay sau khi chỉnh nha?
Sau chỉnh nha, thường cần đợi một thời gian để răng và xương ổn định, thường là vài tuần đến vài tháng, đặc biệt là với cấy ghép implant (có thể 3-6 tháng để tích hợp xương). Việc này giúp đảm bảo phục hình bền vững.
Trong một số trường hợp, các phục hình tạm thời (như răng giả tạm) có thể được thực hiện song song để duy trì thẩm mỹ. Tuy nhiên, các phục hình vĩnh viễn thường chỉ được tiến hành sau khi chỉnh nha hoàn tất và răng đã ổn định ở vị trí cuối cùng để đảm bảo độ chính xác và hiệu quả lâu dài.
Tôi đã từng niềng răng, bây giờ mất răng thì có phải chỉnh nha lại không?

Có thể, nếu các răng xung quanh khoảng mất răng đã xô lệch, nghiêng vào hoặc làm hẹp không gian, bạn vẫn cần chỉnh nha lại để tái tạo điều kiện phù hợp cho phục hình. Dù đã từng niềng răng, răng có thể dịch chuyển theo thời gian nếu không duy trì đúng cách.
Có thể dùng khay trong (Invisalign) để chỉnh nha tiền phục hình không?
Hoàn toàn có thể.
Invisalign (hay các loại khay niềng trong suốt tương tự) có nhiều ưu điểm:
- Thẩm mỹ: Gần như vô hình, không làm ảnh hưởng đến giao tiếp và tự tin trong quá trình chỉnh nha.
- Tiện lợi: Có thể tháo lắp dễ dàng để ăn uống và vệ sinh răng miệng, giúp duy trì vệ sinh tốt, điều rất quan trọng trước khi phục hình.
- Kiểm soát chính xác: Với công nghệ 3D tiên tiến (ClinCheck của Invisalign), bác sĩ có thể lên kế hoạch di chuyển răng đến vị trí chính xác nhất, rất phù hợp với mục tiêu cụ thể của chỉnh nha tiền phục hình.
- Dự đoán kết quả: Bạn có thể xem trước kết quả điều trị trên phần mềm, giúp bạn và bác sĩ phục hình cùng hình dung được mục tiêu cuối cùng.
Tuy nhiên, hiệu quả của Invisalign phụ thuộc vào độ phức tạp của ca và sự tuân thủ đeo khay của bạn. Trong một số trường hợp di chuyển răng cực kỳ phức tạp (như đánh lún răng quá nhiều, dựng trục răng nghiêng độ lớn), bác sĩ có thể cần cân nhắc thêm các lựa chọn khác hoặc kết hợp phương pháp.
Người lớn tuổi (trên 40-50 tuổi) có chỉnh nha tiền phục hình được không? Có hiệu quả không?
Có – độ tuổi không phải là rào cản nếu răng và xương còn khỏe. Người lớn thường cần chỉnh nha để chuẩn bị cho Implant, cầu răng hoặc thẩm mỹ. Hiệu quả vẫn cao nếu điều trị đúng chỉ định, dù thời gian có thể kéo dài hơn một chút so với người trẻ.
Tôi nên chuẩn bị gì trước khi bắt đầu chỉnh nha tiền phục hình để tiết kiệm thời gian và chi phí?
Bạn nên thăm khám với bác sĩ chỉnh nha và bác sĩ phục hình ngay từ đầu để lập kế hoạch đồng bộ. Chuẩn bị đầy đủ phim X-quang, hồ sơ răng miệng, và nếu đã từng điều trị trước đó (niềng, cấy ghép…), hãy mang theo các tài liệu cũ. Tuân thủ đúng lịch hẹn và chăm sóc răng miệng kỹ càng cũng giúp giảm chi phí phát sinh.





